Elton Alisson | Agência FAPESP – Pesquisadores da Faculdade de Medicina da Universidade de São Paulo (FM-USP) constataram que o SARS-CoV-2 infecta e se replica em células das glândulas salivares.
Por meio de análises de amostras de três tipos de glândulas salivares, obtidas durante um procedimento de autópsia minimamente invasiva em pacientes que morreram em decorrência de complicações da COVID-19 no Hospital das Clínicas da FM-USP, eles verificaram que esses tecidos especializados na produção e secreção de saliva são reservatórios para o novo coronavírus.
Os resultados do estudo, apoiado pela FAPESP, foram publicados no Journal of Pathology.
As descobertas contribuem para explicar por que o novo coronavírus é encontrado em grandes quantidades na saliva, o que viabilizou a realização de testes para diagnósticos da COVID-19 a partir do fluido, sublinham os autores do trabalho.
“É o primeiro relato de vírus respiratório capaz de infectar e se replicar nas glândulas salivares. Até então, acreditava-se que apenas vírus causadores de doenças com prevalência muito alta, como o da herpes, usavam as glândulas salivares como reservatório. Isso pode ajudar a explicar por que o SARS-CoV-2 é tão infeccioso”, diz à Agência FAPESP Bruno Fernandes Matuck, doutorando na Faculdade de Odontologia da USP e primeiro autor do estudo.
Os pesquisadores já tinham demonstrado, em estudo anterior, a presença de RNA do SARS-CoV-2 no tecido periodontal de pacientes que morreram em decorrência da COVID-19.
Em razão da alta infecciosidade do SARS-CoV-2 quando comparado a outros vírus respiratórios, eles levantaram a hipótese de que o novo coronavírus poderia infectar e se replicar em células das glândulas salivares e, dessa forma, surgir na saliva sem ter contato com secreções nasais e pulmonares.
Isso porque estudos internacionais anteriores mostraram que o ducto salivar apresenta o receptor ACE-2, com o qual a proteína spike do SARS-CoV-2 se liga para infectar as células. Mais recentemente, outros grupos de cientistas relataram ter observado em estudos feitos com animais que, além da ACE2, receptores como a serina protease transmembranar 2 (TMPRSS) e a furina, presentes nos tecidos das glândulas salivares, são alvos do SARS-CoV-2.
A fim de testar essa hipótese em humanos, foram feitas biópsias guiadas por ultrassom em 24 pacientes que morreram em decorrência da COVID-19, com idade média de 53 anos, para extração de amostras de tecidos das glândulas parótida, submandibular e menores.
As amostras dos tecidos foram submetidas a análises moleculares (RT-PCR) para identificação da presença do vírus. Os resultados indicaram a presença do vírus nos tecidos em mais de dois terços das amostras.
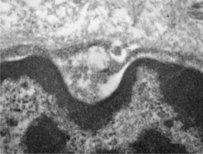
Já por meio de marcações imuno-histoquímicas – em que é colocado um corante em uma molécula que se gruda no vírus e nos receptores –, foi possível observar a presença do vírus in situ, no interior dos tecidos. E, por meio de microscopia eletrônica, foi detectada não só a presença, mas também o vírus se replicando nas células e identificado o tipo de organela que ele utiliza para essa finalidade.
“Observamos vários vírus aglomerados nas células das glândulas salivares – um indicativo de que estão se replicando em seu interior. Não estavam presentes nessas células passivamente”, afirma Matuck.
Boca como porta de entrada direta
Os pesquisadores pretendem avaliar, agora, se a boca pode ser uma porta de entrada direta do SARS-CoV-2, uma vez que os receptores ACE2 e o TMPRSS são encontrados em vários locais da cavidade, como em tecidos da gengiva e da mucosa bucal. Além disso, a boca tem uma área de contato maior do que a cavidade nasal, apontada como a principal porta de entrada do vírus.
“Por meio de uma parceria com pesquisadores da Universidade da Carolina do Norte, dos Estados Unidos, pretendemos mapear a distribuição desses receptores na boca e quantificar as replicações virais em tecidos bucais”, diz Luiz Fernando Ferraz da Silva, professor da FM-USP e coordenador do projeto.
“Pode ser que a boca seja um meio viável para entrada direta do vírus”, estima Matuck.
Outra ideia é verificar se idosos possuem mais receptores ACE2 na boca em comparação com pessoas mais jovens, uma vez que têm uma diminuição do fluxo salivar. A despeito disso, os pesquisadores encontraram mesmo em pacientes idosos, que têm menos tecidos salivares, uma alta carga viral.
“Esses pacientes quase não tinham tecido salivar, era quase tudo tecido gorduroso. Mas, mesmo assim, ainda apresentavam uma carga viral relativamente alta”, relata Matuck.
O artigo Salivary glands are a target for SARS-CoV-2: a source for saliva contamination (DOI: 10.1002/path.5679), de Bruno Fernandes Matuck, Marisa Dolhnikoff, Amaro Nunes Duarte-Neto, Gilvan Maia, Sara Costa Gomes, Daniel Isaac Sendyk, Amanda Zarpellon, Nathalia Paiva de Andrade, Renata Aparecida Monteiro, João Renato Rebello Pinho, Michele Soares Gomes-Gouvêa, Suzana COM Souza, Cristina Kanamura, Thais Mauad, Paulo Hilário Nascimento Saldiva, Paulo H Braz-Silva, Elia Garcia Caldini e Luiz Fernando Ferraz da Silva, pode ser lido em: https://onlinelibrary.wiley.com/doi/10.1002/path.5679.
Este texto foi originalmente publicado por Agência FAPESP de acordo com a licença Creative Commons CC-BY-NC-ND. Leia o original aqui.






